Prótese odontológica
A prótese dentária é a especialidade da odontologia que reabilita ausência total ou parcial dos dentes perdidos, portanto utiliza um método para a substituição dos dentes naturais por meio de próteses fixas, próteses removíveis e recentemente pelas modernas próteses sobre implante.
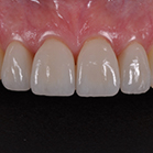
As próteses devolvem de forma eficiente a função mastigatória, forma,estética e saúde bucal. Existem próteses móveis e fixas, de acordo com a indicação de cada caso. As próteses móveis mais comuns são as próteses totais ( dentaduras) e as próteses parciais removíveis.
Nas próteses fixas existem uma variedade de materiais e configurações de tratamento, desde coroas convencionais até as inovadoras lentes de contato dental.
Em nosso consultório trabalhamos com as mais modernas técnicas disponíveis.
Quero agradecer a equipe e especialmente Dra Carolina por prestar serviços de qualidade e trabalhar com bons materiais. Parabenizo a dedicação e a paciência . Abraços e sucesso!